00962799506706
m.awad@drmanalawad.com
Sat-Friday 10:00 - 5pm
If you are struggling with tooth loss, you deserve a solution that lasts a lifetime. Dr. Manal Awad specializes in advanced Dental Implant Treatment In Amman to restore your smile’s natural beauty and function. Unlike removable dentures, implants act as artificial roots, giving you a strong, permanent foundation that feels exactly like your real teeth. Now book your consultation and regain the confidence to eat, laugh, and smile without worry.
You shouldn’t have to hide your laugh or avoid your favorite foods because of tooth loss. If you have been wishing for a permanent solution, dental implant treatment is the answer. Think of it as a second chance for your teeth. It is a simple, safe surgical procedure where we place a specialized titanium post (artificial root) into your jawbone. This fills the gap securely, giving you a strong, lifelong foundation that feels and functions exactly like a natural tooth.
The Gold Standard In Amman At Dr. Manal Awad Clinic, we provide the highest quality tooth replacement services in Jordan. Whether you need a single tooth implant to fix a gap or full mouth rehabilitation to restore your entire smile, our implants offer: Permanence, Aesthetics, Functionality.
Dental implants are not just about filling a gap; they are about getting your life back. At Dr. Manal Awad Clinic, we find that patients usually seek this surgical solution when they are tired of quick fixes that don’t last. If any of these sound like you, it is time to upgrade your smile:
Don’t settle for a temporary patch. Choose the most reliable implantologist in Amman for a safe, lifelong result. Whether you need a single tooth or a full mouth reconstruction, Dr. Manal Awad is here to help you regain a smile that feels 100% real.
There are a lot of benefits to this treatment, but the most important one is simple: Dental Implants are the only tooth replacement option that functions exactly like your natural teeth. Here is why patients at Dr. Manal Awad Clinic choose them:
At Dr. Manal Awad Clinic, we assure you that our treatments provide better, higher-quality solutions than outdated methods.
Your safety is our #1 priority. We don’t just place implants; we design new lives. As one of the top clinics for Dental Implant Treatment in Amman, Dr. Manal combines foreign-qualified expertise with compassionate care. With over 20 years of experience in oral surgery, you can relax knowing you are in safe, competent hands. We offer world-class quality at a reasonable cost right here in Jordan.
Reasons to Choose Manal Awad Clinic
Restoring your smile is easier than you think. At Dr. Manal Awad Clinic, we use a precise, digital workflow to ensure your dental implant procedure is smooth, comfortable, and successful. Here is exactly what happens:
First, we need to see if you are ready. We take a quick 3D X-ray (Scan) of your mouth to look at your jawbone. We talk about what you want your smile to look like and make a simple treatment plan just for you. No surprises, just clear answers.
This is the main step, but don't worry, we numb your mouth completely so you feel no pain. Dr. Manal gently places a small titanium post into your jaw. Think of this as a "new root" for your tooth. It sits under your gums and waits to heal.
Once your jaw has healed and holds the post tightly (usually after a few months), we attach a small piece called an abutment. This is just a tiny connector that sticks up slightly above the gum. It acts as the anchor that will hold your new white tooth in place.
This is the best part! We attach your custom-made dental crown (the white part that looks like a tooth) onto the connector. It will match the color and shape of your other teeth perfectly. Now you can eat, smile, and chew just like you have your natural tooth back!
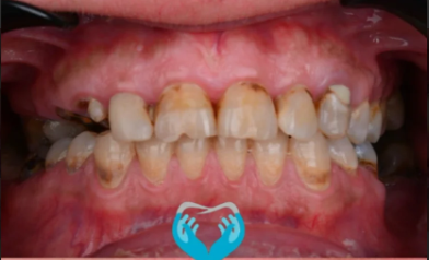
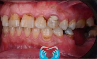
Pictures speak louder than words. Many of our patients in Amman came to us feeling embarrassed to smile or unable to chew their favorite meals. With advanced dental implants, Dr. Manal turned their lives around. Take a look at these actual results, this could be you!


